Skip to main content
Skip to main navigation menu
Skip to site footer
Open Menu
Journal of Current Oncology and Medical Sciences
Home
About
Contact
Editorial Team
For authors
Indexing
All issues
Ahead of print / Accepted Articles
Search
Register
Login
Home
/
Archives
/
Ahead of print / Accepted Articles
Ahead of print / Accepted Articles
Published:
2025-04-14
Articles
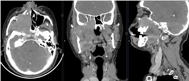
Unusual extrahepatic sites of hepatocellular metastases: case series
Neha Chhabra, Puneet Somal, Sankalp Sancheti
Impact of induction chemotherapy on resectability of borderline resectable/unresectable oral cavity carcinomas
Induction chemotherapy in borderline resectable oral cavity cancers
L.K. Rajeev , Dayananda Sagar P, K.N. Lokesh, Chetan V, A.H. Rudresh, G.V. Giri, Smitha C Saldanha, Yaman Patidar, Suresh Babu
Quantifying benefit of deep inspiration breath hold technique in reducing cardiac avoidance area (CAA) and liver doses for right-sided breast cancer patients
Vikas Kumar Pandey, Anusheel Munshi, Asha Maria
Mullerian adenosarcoma of the uterus in a premenopausal woman: case report and literature review
Siddharth Arora Arora, Kirti Ranjan Mohanty, Kriti Grover, Mansi Dey, Sandeep Ramawat
Make a Submission
Make a Submission
Information
For Readers
For Authors
For Librarians
Browse
Categories
Original article
Review article
Short communication
Case report
Case series
Letter to the Editor