A case of ectopic decidual reaction of omentum masquerading as peritoneal carcinomatosis: a rare case report
Keywords:
Carcinomatosis, Tuberculous peritonitis, Mesothelioma, DecidualAbstract
Introduction: Omental deciduosis is a rare form of ectopic decidua characterized by the presence of decidual tissue outside the uterus. Although benign and self-limiting, its gross appearance may closely mimic intra-abdominal malignancy or infectious pathology, posing a diagnostic challenge.
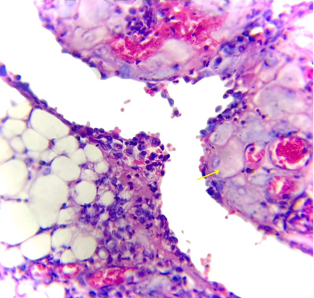
Case presentation: We report a case of a 29-year-old woman who underwent caesarean section, during which multiple nodular deposits were incidentally observed on the omentum. These lesions were initially suspected to represent metastatic disease. The patient was otherwise asymptomatic, with no significant medical or surgical history. Histopathological examination revealed sheets of large polygonal cells with abundant eosinophilic cytoplasm and no evidence of atypia or mitotic activity, confirming the diagnosis of omental deciduosis.
Discussion: Omental deciduosis, though uncommon, is most often associated with pregnancy and usually regresses spontaneously in the postpartum period. Its clinical importance lies in its close resemblance to conditions such as peritoneal carcinomatosis, tuberculous peritonitis, or deciduoid mesothelioma. Frozen section and immunohistochemistry may aid in difficult cases, but in most instances, routine histopathology is sufficient for diagnosis. Awareness of this entity among both surgeons and pathologists is crucial to prevent misinterpretation and avoid unnecessary aggressive interventions.
Conclusion: Omental deciduosis is a rare but benign condition that can mimic serious intra-abdominal pathology. Recognition of its characteristic histopathological features ensures accurate diagnosis and helps prevent overtreatment.

Additional Files
Published
How to Cite
License
Copyright (c) 2025 Geet Bhuyan

This work is licensed under a Creative Commons Attribution-NonCommercial 4.0 International License.